すきっ歯

渋谷周辺で
すきっ歯の治療を受けるなら
祐天寺ブライト歯科

渋谷駅より東急東横線で約5分!

すきっ歯の治療を最短即日、

安い費用で治療を受けることが出来ます!

すきっ歯の治療なら
祐天寺ブライト歯科へ!
ダイレクトボンディングを用いて
すきっ歯の治療を
最短即日、安い費用で!

「とにかくすきっ歯を治したい!」

「長年のコンプレックスなので早く治したい。」

「すきっ歯を治したいが、治療費が高そう…」

 

とすきっ歯の悩みは、患者様によって様々です。

従来のすきっ歯の治療法ですと長期間をかけて徐々に歯をずらすワイヤー矯正やマウスピース治療、健康で綺麗な歯を削り、セラミックを貼りつけることで歯の隙間を埋めるラミネートべニア治療やセラミッククラウンという治療法があります。

 

当院ではすきっ歯治療をおこなう際、矯正治療や削る治療もおこないますが、患者様によってダイレクトボンディングを勧めております。ダイレクトボンディングとは歯を削らずに、隙間だけを埋めてしまう治療方法になり、最短即日ですきっ歯の治療ができ、比較的安い治療費用で治療を受けることができます。

すきっ歯
今までのすきっ歯治療ですと
  • ラミネートベニア
    01
    ラミネートベニア

    ラミネートベニアとは歯を削り、セラミック製の薄いチップを歯にはることで、隙間を埋めて、綺麗に見せる治療法です。

    カウンセリングを受け、患者様の歯の白さや、形状、どのように治したいかをカウンセリングさせていただいた後、

    歯を0.3ミリ~ほど削り、削った部分にラミネートベニアを貼り付けることですきっ歯を治療いたします。

     

    メリット

    ●仕上がりが良い

    ●自然な歯の色味

    ●通院回数が2、3回ほど

    デメリット

    ●治療費が保険適用外のため、8~10万円以上と高価

    ●健康な歯を削らなければいけない

     

  • ワイヤー治療
    02
    ワイヤー治療

    歯の表側にブラケット(歯にワイヤーを固定する器具)を装着することによって長い時間をかけて歯をずらし、矯正しながら治していく治療法。

    さまざまな不正咬合に幅広く対応することができ、装着しやすいため、多くの歯医者で扱われております。

     

    メリット

    ●大きな隙間でも対応できる

    ●歯を削らない

    デメリット

    ●長期間の治療期間が必要

    ●目立ってしまう

    ●保険適用外のため、20万以上費用が発生する

     

    また歯の裏側にワイヤーを装着する治療法もありますが、装着期間が表側より長くなります。

  • セラミッククラウン
    03
    セラミッククラウン

    セラミッククラウンとはセラミックという素材を使用した被せ物を、歯を削り、そこに装着することによってすきっ歯の隙間を埋めていく治療法です。

    削る量が多いというデメリットはありますが、オールセラミックということで汚れがつきにくく、変色しづらいメリットもあり、2週間ほどで治療が可能なことが多いです。

     

    メリット

    ●色合いが自然な歯に近い

    ●変色しづらい

    ●治療日数が2週間ほど

    デメリット

    ●歯を削る量が多い

    ●自費診療で80,000~150,000円ほど

ダイレクトボンディングでは
従来のすきっ歯治療と異なり
最短即日で安い費用で
すきっ歯治療を受けられます!

ダイレクトボンディング

ダイレクトボンディングとはセラミッククラウンやラミネートべニアの治療と異なり、大きく歯を削り、セラミックの素材をかぶせたり、マウスピース矯正やワイヤーのように長い年月をかけて治療をおこなっていくわけではなく、歯の隙間に天然の歯のような色味のプラスチック素材を歯に貼り付ける治療法になります。

 

なので、通院回数が増える事なく、症状にもよりますが、ほとんどの治療が最短即日ですきっ歯を治療することができます。

 

また費用も自費診療になりますので、保険診療よりも高額にはなりますが、他のすきっ歯治療よりも安い費用で受けることが可能となっております。

ダイレクトボンディング
のメリット・デメリット

メリット

 

1. 歯を削らない

健康な歯を削ってしまうと、痛みの発症や虫歯になるリスクが高まります。


2. 最短即日で治療が終了!

すきっ歯の治療の場合、矯正ですと長期間かかってしまうのですが、ダイレクトボンディングですと、最短即日で治療できます。


3. 自費でも比較的安価

矯正治療や歯を削る治療ですと10万円以上はかかってしまいますが、1箇所あたり2万~比較的安価になっております。


4. 繰り返して治療をすることできる!

ダイレクトボンディングは削り取りやすい為、変色や劣化してしまったプラスチックは取り除いて、新たな治療を繰り返しおこなうことができます。


5. 金属を使わない!

金属は水分があるところでイオン化し、金属アレルギーを発症の原因となります。

ダイレクトボンディングでは金属を一切使わない治療法のため、金属アレルギーの方でもすきっ歯の治療をおこなうことができます。

デメリット

 

1. 欠けてしまう可能性あり

自然な歯よりも柔らかい素材を使用している為、少しの衝撃などで欠けてしまうことがあります。


2. 変色の可能性あり

ダイレクトボンディングはプラスチックを使用しているため、経年劣化により、変色してしまったり、着色が濃いコーヒーやカレーを召し上がると着色率が上がり、変色してしまいます。


3. 汚れがつきやすい

プラスチックを使用しているため、表面が荒く、食べ残しや食べカスがつきやすいです。そのため、歯磨きは念入りにおこなっております。

実際の症例

治療事例

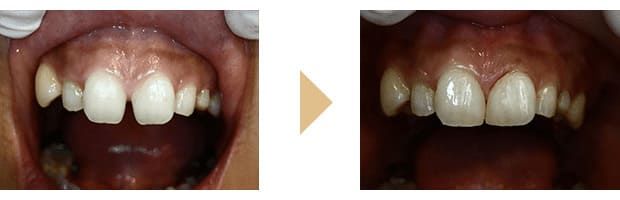
ケース1

前歯に大きな隙間が3箇所、小さな隙間が1箇所あり、
その両端の歯6本に対して治療

治療費用 隙間4か所 110,000円+税

治療事例

ケース2

他のすきっ歯治療ですと高価な為、治療を放置していたが、ダイレクトボンディングを知り、治療。前歯2本の間に隙間を埋めています。

 

治療費用 隙間1か所 25,000円+税

ケース3

ケース3

前歯の小さい隙間を治療。隙間が狭いですが、削ることなく治療。

 

治療費用 隙間1か所 25,000円+税

ケース4

ケース4

前歯が離れるようにして生えてきてしまったため、すきっ歯に。前歯の隙間のみ治療をおこなっています。

 

治療費用 隙間1か所 25,000円+税

治療費用

ダイレクトボンディング 治療費

今まで矯正ですと

ラミネートべニア 80,000~150,000円以上

ワイヤー矯正 200,000円~

セラミックによる矯正 80,000~150,000円以上

マウスピース矯正 数十万円~100万円以上

と治療方法にもよりますが、数十万かけて治療をおこなっていました。

ダイレクトボンディングでは、ワイヤーの製作がいらず、歯を削ることもおこなわないので、

1ヶ所あたり
20,000円~40,000円

※症例によっては適応外になるますので当院にご相談ください。

 

DOCTOR
柴山 将雄

はじめまして、祐天寺ブライト歯科院長の柴山将雄です。

この度はホームページをご覧いただきまして誠にありがとうございます。 
当院は平成28年10月、東急東横線祐天寺駅徒歩2分の場所に開院し、
患者様お一人おひとりに対し、精密できめ細かい治療や、丁寧な説明を心がけております。 

 

当院ではすきっ歯の治療をおこなう際に、患者様によって、ダイレクトボンディングを用いることがあります。

矯正治療の場合ですと治療期間がかかってしまうのと、費用面的にも高額になってしまったり、セラミック矯正でも、虫歯のではない健康で白い歯を削り治療をしなければならなかったりするため、合わないケースもございます。

ダイレクトボンディングですと、長期間の治療であったり、費用が高額になることも、歯を削り取ることもないので最短即日で低価格ですきっ歯の治療を受けることができます。

ただ、デメリットとしても年数がたつにつれて、変色してしまう可能性もあるので、患者様にあった治療法を提案させて頂いております。

 

最短即日や安い費用ですきっ歯の治療をおこなうことができるので祐天寺にお住いの方はもちろんのこと、新宿や渋谷からご来院の患者様や横浜や川崎方面、または全国から多くの患者様のご来院があります。

 

もちろんダイレクトボンディング、すきっ歯の治療だけでなく、むし歯や入れ歯の治療や歯科矯正、インプラントまで幅広くチーム医療を行なっております。

 

患者様が安心して治療を受けていただけるよう、スタッフ一同心よりお待ちしております。

柴山 将雄

医院情報

祐天寺ブライト歯科写真
店舗名

祐天寺ブライト歯科
住所 〒153-0052 東京都目黒区 祐天寺2-14-10 クウカイテラス祐天寺annexB1F
電話番号 03-6412-8571
営業時間 【月・火・木・金】10:00〜13:00 / 14:30〜20:00

【土】10:00〜13:00 / 14:00〜16:00
営業日備考 水曜日・日曜日・祝日
最寄駅 東急東横線「祐天寺駅」(東口)より徒歩2分
ご紹介

祐天寺ブライト歯科では虫歯や矯正、差し歯、すきっ歯など
様々な症状で悩まられている方に対して様々な治療で
対応しております。
すきっ歯治療でお悩みの方はダイレクトボンディングを、
セラミック治療ではセレックシステムを用いて
最短即日、安い治療費用で治療させて頂きます。
お子様から大人の方まで年齢層問わず、患者様お一人おひとりに対し、
精密できめ細かい治療や、丁寧な説明を心がけておりますので是非ご相談ください。
room
ACCESS
東急東横線「祐天寺駅」(東口)より徒歩2分

中目黒駅から1駅
渋谷駅から2駅
横浜駅から30分弱となります。

祐天寺駅周辺だけでなく、神奈川県横浜市や
川崎市方面からも来院されております。
また東急東横線が東京メトロ副都心線とつながり、利便性も増した事やセラミック治療や
すきっ歯治療が通院することなく最短即日で治療を受けることが出来ますので、東京方面は中目黒や渋谷、新宿、池袋、また埼玉方面からも多くの患者様のご来院があります。

INDOOR VIEW

03-6412-8571